Implantologie

Implantate - die künstlichen Zahnwurzeln

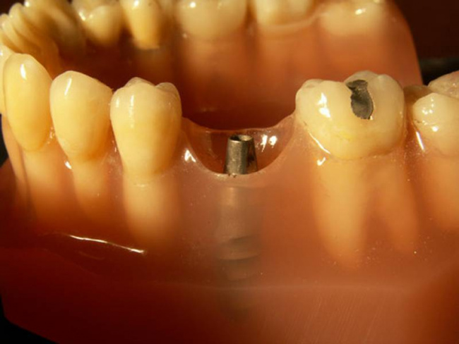
Implantate kann man sich durchaus als künstliche Zahnwurzel vorstellen. Mittlerweile ist die Implantologie ein anerkanntes und seit Jahren in der Praxis umgesetztes Verfahren, zur Wiederherstellung eines verloren gegangenen Zahnes. Bereits durch viele juristische Urteile bestätigt, handelt es sich bei der Implantologie um ein minimalinvasives Verfahren und ist der herkömmlichen Brückenversorgung und damit verbundenem Abschleifen von beiden gesunden Nachbarzähnen vorzuziehen.

Die "künstliche" Zahnwurzel
Zahnersatz mit Implantat

Wir bieten in der Praxis viele individuelle Lösungen, mit verschiedenen Implantatsystemen an. Neben der Möglichkeit der Einzelzahnrestauration eines durch einen Unfall oder einer Krankheit verloren gegangenen Zahnes, gibt es auch die Möglichkeit größere Lücken oder auch Freiendsituationen, sowie ganze Kiefer mittels Implantaten wieder festsitzend zu versorgen.

Eine Prothese kann ebenfalls durch die Wahl unseres minimalinvasiven Implantatsystems gestützt werden. Häufig ist dabei die Neuanfertigung der Prothese nicht erforderlich, da die Aufbauten später unter die vorhandene Prothese eingearbeitet werden können. Damit gibt es kein Rutschen mehr, Druckstellen werden vermieden und die Lebensqualität, bei nur geringen Kosten wesentlich erhöht.

Nach einer eingehenden Untersuchung beraten wir Sie gern und erarbeiten unverbindlich eine individuelle Lösung. Sollten Sie einen Plan eines Vorbehandlers haben, geben wir Ihnen auch unverbindlich die Möglichkeit unseren Behandlungsvorschlag zu vergleichen. Wir beraten Sie gern. Sprechen Sie uns an.

Worin liegt der Hauptvorteil bei der Implantation?

Nachweislich wird dort der Knochen erhalten, wo er auch benutzt wird, entweder durch die eigenen Zähne oder durch die Implantate wird der Knochen funktionell belastet und wird damit stabilisiert. Der Knochen ist in der Lage an Stellen verstärkter Beanspruchung sich zusätzlich zu verdichten. Dies sind natürliche Umbauprozesse des Körpers, die wir hier bewußt ausgenutzen können.

Durch das Tragen von Prothesen, die nur auf der Schleimhaut aufliegen, kommt es hingegen zu einer untypische horizontale Belastung der Knochenanteile und damit zu einem verstärkten Knochenabbau.

Zahnärzte
Thorsten Mielke & Kollegen

Schäferkampsallee 45
20357 Hamburg

Tel.: 040 - 44 20 07
Fax: 040 - 41 80 70

E-Mail:
info@zahnarzt-mielke.de

Öffnungszeiten
Montag: 8:00 - 18:00 Uhr
Dienstag: 8:00 - 18:00 Uhr
Mittwoch: 8:00 - 15:00 Uhr
Donnerstag: 8:00 - 18:00 Uhr
Freitag: 8:00 - 13:00 Uhr

und nach Vereinbarung.

So finden Sie uns.

Unserer Praxis befindet sich in der Schäferkampsallee 45 in 20357 Hamburg Eimsbüttel.

Diese Website verwendet Cookies.
Dies ermöglicht uns, Ihnen das bestmögliche Nutzererlebnis bieten zu können. Mehr Informationen dazu finden Sie in unseren Datenschutzbestimmungen.
Mit der weiteren Nutzung unserer Internetseite erklären Sie sich mit der Verwendung von Cookies einverstanden.
Akzeptieren und speichern
Termin
online buchen
Doctolib