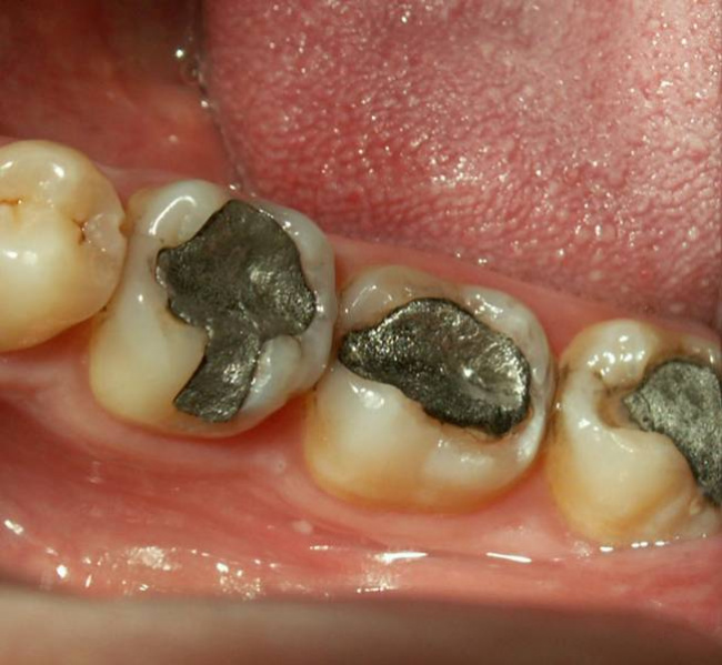
Amalgamfüllung

Gibt immer wieder Anlass zur Diskussion...

Wir bieten seit Jahren keine Amalgamfüllungen im Rahmen unseres Behandlungskonzeptes an. Amalgam ist ein Füllungswerkstoff, der sich zwar seit Jahrzehnten auf dem Markt bewährt hat, aber immer und immer wieder Anlaß zur Diskussion gibt. Es gibt immer wieder Patientenfälle mit einer Allergie oder anderen multiplen Krankheitssymptomen, bei denen die Quecksilberfüllungen kritisch eingestuft werden müssen.

Der Füllungswerkstoff enthält unter anderem Schwermetalle, welches nach unserer Meinung in der heutigen Zeit, v.a. bei den vielfältigen alternativen Möglichkeiten, nicht mehr in den Patientenmund gehört. Es werden zwar leider immer noch ca. über 1 Million Amalgamfüllungen pro Jahr gelegt, dies ist aber meist aus wirtschaftlichen und nicht aus gesundheitlichen Erwägungen.

Die Krankenkassen bezahlen in der Füllungstherapie nach wie vor einen Festzuschuß, auf der Basis der Amalgamfüllung. Die bei den modernen Compositfüllungen entstehenden Mehrkosten müssen privat oder über Zahnzusatzversicherungen abgedeckt werden. Die Kosten für die Amalgamalternativen wären durch die Solidargemeinschaft kaum wirtschaftlich tragbar, daher sind Eigenbeteiligungen der Versicherten zumeist unumgänglich.

Glasionomerfüllungen als Amalgam-Alternative?

Wir halten in der Praxis für Sie eine kostenlose mittelfristige Lösung durch die Verwendung spezieller Glasionomerfüllungen bereit. Es muß aber im individuellen Fall immer entschieden werden, in wie weit sich der Werkstoff für den Zahndefekt eignet. Die Randgestaltung zu den Nachbarzähnen ist nur schwierig zu konstruieren und der Füllungswerkstoff hat aufgrund seiner Zusammensetzung eine schlechtere Polierbarkeit. Die Industrie bietet diesen Werkstoff auch nicht in allen Farben an, wodurch es zu Farbunterschieden kommen kann. Aufgrund der niedrigeren Abriebsfestigkeit sind bei Wahl der Glasionomerfüllungen regelmäßige, engmaschige Kontrollen durchzuführen und bei Bedarf die Füllung nochmals auszutauschen.

Hochwertige Alternativen zu Amalgam

Wir empfehlen auf jeden Fall die Verwendung hoch verdichteter, abriebsfester und moderner Compositfüllungen der neuesten Generation oder aber die Versorgung mit Gold- oder besser Keramikinlays. Entscheiden sollten Sie als Patient für sich und ihre Gesundheit selbst. Wir sind bemüht Sie auf dem Weg dorthin optimal zu beraten und Sie zu unterstützen.

Wir glauben für uns und mit unserem Praxiskonzept, letztendlich damit auch für Sie, einen verantwortungsvollen und gesundheitlich guten Weg gefunden zu haben, der auch Ihre wirtschaftliche Situation berücksichtigen kann.

Zahnärzte
Thorsten Mielke & Kollegen

Schäferkampsallee 45
20357 Hamburg

Tel.: 040 - 44 20 07
Fax: 040 - 41 80 70

E-Mail:
info@zahnarzt-mielke.de

Öffnungszeiten
Montag: 8:00 - 18:00 Uhr
Dienstag: 8:00 - 18:00 Uhr
Mittwoch: 8:00 - 15:00 Uhr
Donnerstag: 8:00 - 18:00 Uhr
Freitag: 8:00 - 13:00 Uhr

und nach Vereinbarung.

So finden Sie uns.

Unserer Praxis befindet sich in der Schäferkampsallee 45 in 20357 Hamburg Eimsbüttel.

Diese Website verwendet Cookies.
Dies ermöglicht uns, Ihnen das bestmögliche Nutzererlebnis bieten zu können. Mehr Informationen dazu finden Sie in unseren Datenschutzbestimmungen.
Mit der weiteren Nutzung unserer Internetseite erklären Sie sich mit der Verwendung von Cookies einverstanden.
Akzeptieren und speichern
Termin
online buchen
Doctolib